Es posible que alguna vez te hayas sonado la nariz tan fuerte que te llegó a doler, pero ni así te acercas a lo que le paso a esta mujer.
Una señora de 36 años del Reino Unido, se en su trabajo cuando se sonó la nariz, pero la fuerza con la que realizó tal actividad le provocó un agujero en el cráneo que abarca el ojo, afectando los espacios de los tejidos blandos y queda atrapado.
Ver más: Comprobado: Así es como los chiles te ayudan a vivir más
Después de sonarse la nariz, esta mujer perdió temporalmente la visión en ambos ojos, un par de horas después, el ojo izquierdo empezó a hincharse y comenzó a sangrar por la fosa nasal izquierda, comenzó a sentir dolor extremo en el lado izquierdo de la cabeza y el cuello.
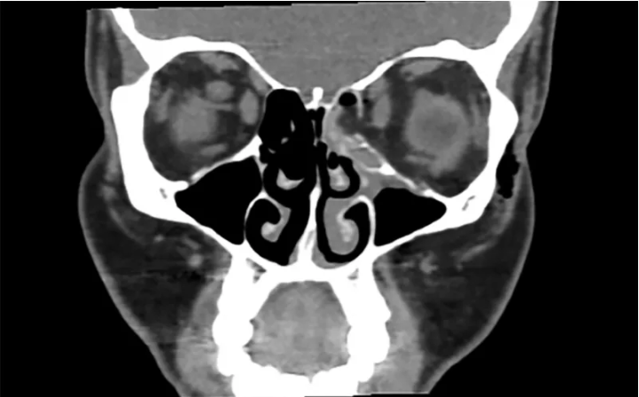
En el hospital fue sometida a una tomografía que mostró una fractura en el ojo izquierdo. También mostró que el hueso que rodeaba el ojo se había roto.
Ver más: Cosas que haces en WhatsApp que están arruinando tu relación
Este tipo de lesiones son provocadas por fuerzas mayores como un golpe en la cara con una pelota o recibir un puñetazo, a pesar de que a esta mujer no le paso nada grabe pues no tendrá que recurrir a cirugía y solo se tratara con analgésicos, sin embargo este acontecimiento es algo que nos debe poner alerta y no sonarse tan fuerte.
También te puede interesar… Los “Rugrats” están de regreso y esto es lo que sabemos
© Sistema Radiópolis, S.A. de C.V. Todos los derechos reservados.
Sistema Radiópolis, S.A. de C.V., realiza una reserva expresa de las reproducciones y usos de las obras y otras prestaciones accesibles desde este sitio web a medios de lectura mecánica u otros medios que resulten adecuados.