
¡Tigre blanco «caza» a una joven en un zoológico en Rusia!
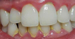
Si bien los médicos recomiendan una limpieza profesional cada seis meses, hay algunos remedios naturales que pueden ayudar a reducir la acumulación de sarro.
Prueba a mojar tu cepillo de dientes en vinagre de sidra de manzana y después cepilla tus dientes normalmente. Enjuaga bien tu boca después. Trata de hacer esto una o dos veces a la semana sólo ya que el vinagre podría llegar a dañar el esmalte de tus dientes si se usa con demasiada frecuencia.
¡Aquí están los 72 nuevos emojis que tendrá WhatssApp!
Coge algunas frutas rojas como fresas o tomates y frótalas en tus dientes. Deja que el jugo se mantenga en tu boca durante al menos cinco minutos para ablandar la acumulación de sarro. Enjuaga tu boca con bicarbonato de sodio y agua tibia para tener una sonrisa más brillante.
¡Claudio Alcaraz estrena sencillo!