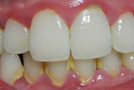
Primero que nada empecemos diciendo, ¿Qué es el sarro?, el sarro se acumula en los dientes como resultado tras ingerir alimentos por las bacterias que residen en nuestra boca. Esto puede aumentar también el riesgo de caries.
¡Tigre blanco «caza» a una joven en un zoológico en Rusia!
Si bien los médicos recomiendan una limpieza profesional cada seis meses, hay algunos remedios naturales que pueden ayudar a reducir la acumulación de sarro.
Prueba a mojar tu cepillo de dientes en vinagre de sidra de manzana y después cepilla tus dientes normalmente. Enjuaga bien tu boca después. Trata de hacer esto una o dos veces a la semana sólo ya que el vinagre podría llegar a dañar el esmalte de tus dientes si se usa con demasiada frecuencia.
¡Aquí están los 72 nuevos emojis que tendrá WhatssApp!
Cambia tu pasta de dientes por un poco de bicarbonato de sodio y una pizca de sal para eliminar el sarro. Puedes también crear tu propio enjuague bucal mezclando media taza de bicarbonato de sodio con una taza de agua, 10 gotas de limón y 4 cucharadas de glicerina vegetal. Mezcla bien y úsalo una vez al día dos veces a la semana.
Coge algunas frutas rojas como fresas o tomates y frótalas en tus dientes. Deja que el jugo se mantenga en tu boca durante al menos cinco minutos para ablandar la acumulación de sarro. Enjuaga tu boca con bicarbonato de sodio y agua tibia para tener una sonrisa más brillante.
¡Claudio Alcaraz estrena sencillo!
© Sistema Radiópolis, S.A. de C.V. Todos los derechos reservados.
Sistema Radiópolis, S.A. de C.V., realiza una reserva expresa de las reproducciones y usos de las obras y otras prestaciones accesibles desde este sitio web a medios de lectura mecánica u otros medios que resulten adecuados.