dientes

Retiran más de 500 dientes de la boca de un niño de 7 años de edad

lakebuena

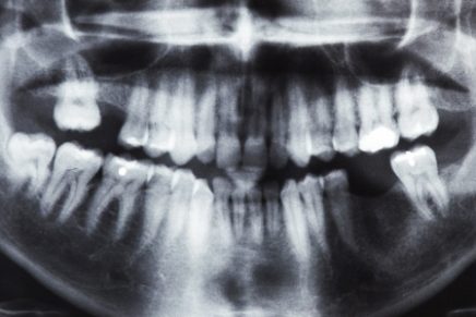
Médicos extrajeron más de 500 piezas dentales de la boca de un niño de 7 años en la ciudad de Chennai en la India.

Regularmente visitamos al médico para chequeos regulares, o cuando tenemos alguna dolencia física, en algunos de los casos los diagnósticos suelen impresionar a los pacientes. Lo anterior le ocurrió a una mujer que se quejaba por un dolor de cabeza constante, tras ser examinada encontraron algo asombroso.

 

Ver más: Mujer acude al doctor por dolor de cabeza !La causa te aterrorizara!

 

Los casos clínicos más impresionantes del mundo se han vuelto virales gracias al internet, hechos con los que toda

 

 

El cuidado de los dientes es toda una prioridad

 

Un niño se quejaba de un fuerte dolor en la boca, por lo que decidió acudir al hospital Saveetha Dental College ubicado en Chennai, India. Al concluir la inspección se le realizó una radiografía y una tomografía, saliendo a la luz la existencia de más de 500 dientes en su boca.

El niño tenía una «estructura en forma de bolsa» en la boca, la tomografía reveló múltiples dientes rudimentarios. La situación del menor requirió cirugía, la cual duró más de 5 horas con un resultado favorable.

Al término del procedimiento quirúrgico el pequeño se quedó con 21 dientes, su caso será estudiado minuciosamente para saber las causas.

 

dientes

 

 

 

Seguir leyendo: Doctora ya no podrá ejercer medicina por estas atrevidas fotografías