
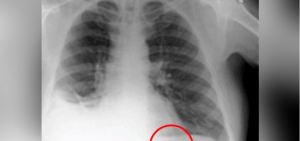
Esta mancha en la radiografía anunciaba un aparente tumor en el pulmón, pero tras analizarla la noticia se transformó y se volvió un tanto aliviador para todos.
Después de examinar al paciente lo que encontraron en su pulmón fue algo sorprendente pues era un juguete “Playmobil” lo que formaba esta mancha.
El paciente tragó una pieza cuando tenía 7 años, lo que sorprendió a todos los doctores pues haber vivido con esto durante 40 años fue grave, sin haber tenido síntomas de algo, tos constante o alguna molestia en la parte del pulmón.
Perro gana Récord Guinness por tener la lengua más larga del mundo